こんなによくなる
インプラント治療例
インプラント
インプラント症例その3
| 術前① | 術前② |
|---|---|
![]() |
![]() |
左下6に保存不可能な歯があります。残念ながら抜歯しました。
歯肉と骨が治癒するまで待ちます。だいたい2~3ヶ月の期間です。
| 術後① | 術後② |
|---|---|
![]() |
![]() |
インプラントを埋入します。埋入後6~8週間待ちます。
インプラント体の上に土台と被せ物(上部構造)を着けて終了です。
インプラント症例その4
| 術前 |
|---|
![]() |
| 右上3にインプラント 埋入 |
| 術後① | 術後② |
|---|---|
![]() |
![]() |
| 上部構造をセット | 審美的に仕上がった |
正面から見てもどこにインプラントを施したかわかりません。審美的に仕上がりました。
インプラント症例その5
| 術前① | 術前② |
|---|---|
![]() |
![]() |
左下広範囲にわたって歯が無く右側の大きなブリッジに負担がかかりすぎていました。
咬む位置も不安定で虫歯と歯周病もあり多くの問題を抱え総合的な治療が必要です。
| 術後① | 術後② |
|---|---|
![]() |
![]() |
保存不可能な歯は抜歯をし、歯牙欠損部はすべてインプラントで対応しました。被せ物はすべてセラミックを選択し審美と機能両面で満足していただきました。
インプラント症例その6
| 術前 |
|---|
![]() |
| 右上1を虫歯で喪失。 隣在歯は虫歯も無く健康な状態。 ブリッジで削るのはもったいない為インプラントにて対応。 |
| 術中 | 術後 |
|---|---|
![]() |
![]() |
インプラントを埋入して、自然な仕上がりになりました。土台と被せ物(上部構造)を装着して終了です。左右の歯を触らずに処置を終えることができました。
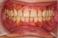
インプラント症例その7
インプラントと矯正治療
を用いた咬合再構成
| 術前 | 術後 |
|---|---|
![]() |
![]() |
| 治療前 | 治療後 |
|---|---|
![]() |
![]() |
| 年齢・性別 | 40代男性 |
|---|---|
| 主訴 | 歯が欠けてしまった |
| 治療期間 | 1.5年 |
| 治療内容 | 自費診療 補綴(詰め物、被せ物)9本:約100万円 インプラント2本:約100万円 矯正治療:約35万円 保険診療 咬合基本治療 |
| 費用 | 235万円 |



















