小児矯正
お子様の矯正治療の大切さ
なぜ矯正治療が必要なのか?
それは、かみ合わせは健康状態と密接かな関係にあるからです。
矯正治療をすることにより、キレイな歯並び、調和の取れた顔立ちになることはもちろん、よりしっかり噛めるようになって、消化器官の負担が少なくなったり、顎の筋肉のバランスがよくなります。また、歯並びの影響で発音しづらかったり、歯磨きがしにくいことで虫歯や歯周病になりやすかったことが、改善されます。
特に成長過程のお子様の悪い歯並びや、指しゃぶりなどのお口の癖を放置しておくことは、顎の成長が悪い方向にすすめたり、 発育不足を起こすことがあります。
矯正を始める時期について
矯正治療を始める適齢期は、人によってさまざまです。そのため矯正治療を始める時期はその人によって違います。
成長期の患者様の場合、「永久歯への交換時期」、「不正咬合の種類」、「不良習癖の有無」、「顎の成長の時期」など、お一人ひとりによって全く状態が異なります。
矯正治療を開始するのに一番良い時期とは
患者様の症状を総合的に判断して、矯正治療を開始するのに一番良い時期を決定します。最適な治療時期に治療を行えるように、お子様の歯並びやかみ合わせについて気になることがあれば、一度、矯正のドクターの診察を受けてみるのが良いでしょう。
習癖はかみ合わせの密接な関係
立ち方、寝方など日常の姿勢や、唇や舌など使い方など、普段無意識で営んでいる習癖はすべてかみ合わせに関係があります。ゆがんだ姿勢や間違った習癖はあごの関節やかみ合わせ、あごの成長にまで影響を及ぼします。
癖は訓練次第で変えられる
この機会にお子様の日常を想い返してみましょう。気づいたときで遅くはありません、正しい習癖をトレーニングすればかみ合わせの未来がかわります!
鼻づまりと噛み合わせの意外な関係
お子様は鼻づまりがひどかったり、ずっと口を開けていたりしませんか?
鼻炎や鼻づまり症状は口呼吸や低位舌(間違った舌の位置)などの原因となり、長期的な症状はお顔やかみ合わせに影響を与え、特徴的な出っ歯や、開咬、あるいは口元がポカンとあいた顔付を引き起こすことが報告されています。
矯正医と耳鼻科との連携
当院の矯正医は耳鼻科と連携をして、「鼻疾患とかみ合わせの関係性」についての研究をしております。お子様やご自身にお鼻のトラブルがありましたら、一度、当院の矯正のドクターにご相談ください。
検査から診断まで
矯正治療を始めるにあたって一番大切の診断
初診の患者様につきましては、X線写真、歯列模型、口腔内および顔貌写真、必要に応じてCT撮影を行い、大学病院の矯正科と同様の検査診断を行っております。ご希望に沿った治療プランの提示はもちろんですが、歯を抜くか抜かないかはしっかりと骨や顎の状態を調べてから医学的に判断した上で計画を提示させていただきます。
また、当院では咬合や態癖(姿勢や習慣)を専門とするドクターと矯正医が連携しながら包括的に治療を行っていきます。
小児矯正のスケジュール

矯正料金について
| 初診・相談料 | 無料 | 検査・診断料 | 30,000円 |
|---|---|---|---|
| 小児矯正(1期開始) | 300,000円 | 小児矯正(2期移行) | 450,000円 |
| 成人矯正 | 750,000円 | 装置紛失 | 20,000円 |
小児矯正の矯正装置と症例
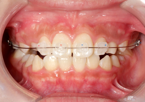
症例01. Sectional
混合歯列期や限局矯正に、ブラケットとワイヤーを用いて
並べます。凸凹だけでなく、噛み合わせの深さなども変え
られます。


| 治療内容 | 1:すきっ歯と八重歯が気になる 2:まず前歯を閉じる 3:スペースを使ってきれいに並べる |
|---|---|
| 期間 | 半年~1年 |
| 費用 | 300,000円+税 |
| リスク | 歯の動きに伴ったむずがゆさや軽度の痛みが出る可能性があります。 数日程度で慣れてしまいます。 |
症例02. 拡大床
レジン床にスクリューが埋め込まれています。
着脱可能で、患者様ご自身にスクリューを回していただき横に拡大していきます。


| 治療内容 | 1:前歯を並べるスペースを作る 2:側方に拡大する 3:出っ歯にすることなく歯が並ぶ |
|---|---|
| 期間 | 半年~1年 |
| 費用 | 300,000円+税 |
| リスク | 拡げた際のきつさがあります。 |
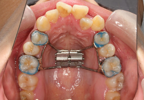
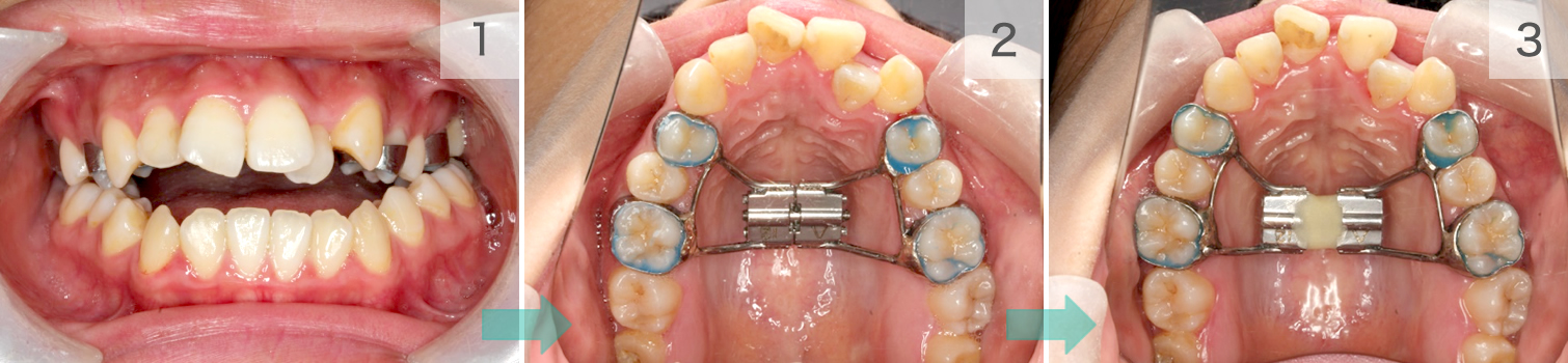
症例03. 急速拡大装置
上あごの幅を拡げるための装置です。正中口蓋縫合と呼ばれる骨の結び目に作用し、骨ごと拡大します。


| 治療内容 | 1:上あごが狭く、交差咬合になっている 2:朝夕2回スクリューを回してもらう 3:正中は離開し、幅が拡がったのがわかる |
|---|---|
| 期間 | 半年 |
| 費用 | 300,000円+税 |
| リスク | 拡げた際の痛みが数日出ることがあります。 |
症例04. FKO
レジンブロックと唇側線からなります。
下あごを前に出した位置で噛んでいただき、下顎頭という下あごの骨の成長を促します。


| 治療内容 | 1:下あごがひけており、出っ歯に見える 2:装着時は下あごが前方に位置する 3:下あごの成長により噛み合わせが変化した |
|---|---|
| 期間 | 1年~2年 |
| 費用 | 300,000円+税 |
| リスク | 顎に違和感でる可能性もありますが、都度調整をはかっていきます。 |
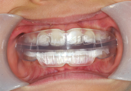
症例05. EF-line
ビニール製やゴム製のマウスピース様装置です。咬合様式に合った様々なタイプがあり、噛んでいただくことで咬合誘導や歯列拡大を行います。舌癖の是正も期待できます。


| 治療内容 | 1:舌突出に伴う出っ歯さん 2:正しい位置で噛むことを習慣づける 3:あごと舌の正しい位置を覚えてもらう |
|---|---|
| 期間 | 1年~2年 |
| 費用 | 300,000円+税 |
| リスク | 慣れないうちは多少の息苦しさもありますが、鼻呼吸を促し問題も解決されていきます。 |
症例06. MPA(上顎前方牽引装置)
リンガルアーチタイプとプレートタイプがあります。
フェイスマスクからフックにゴムをかけ、上顎を前方に引っ張ることで成長を促します。


| 治療内容 | 1:こどもの受け口さん症例 2:前方に伸びたフックにゴムをかけ引っ張る 3:上あごを前に出し、正しい被蓋をつくる |
|---|---|
| 期間 | 2~3年 |
| 費用 | 300,000円+税 |
| リスク | 就寝時の着用が必須です。 |
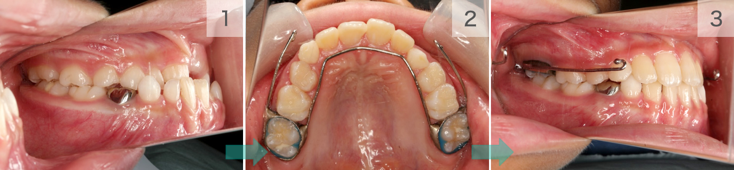
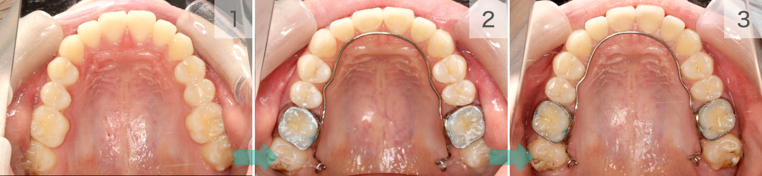
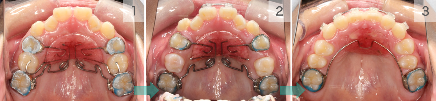
症例07. リンガルアーチ
舌側の主線とバンドで構成されます。
歯列の幅を維持したり、土台にして歯を引っ張ったり、押したりと活躍の場は多いです。


| 治療内容 | 1:最後臼歯が外側に張り出している 2:リンガルアーチ後方のアームから歯を引く 3:歯が内側に移動する |
|---|---|
| 期間 | 半年~1年 |
| 費用 | 300,000円+税 |
| リスク | 磨きづらい箇所は虫歯になるリスクが あります。 |
症例08. ペンデュラム
パラタルパッドと上顎小臼歯を固定源として上顎大臼歯を遠心移動させる装置。
取り外しできませんが、毎回Drが調整します。


| 治療内容 | 1:上顎大臼歯をワイヤーの弾性力で遠心へ送る 2:スペースが生まれているのが確認できる 3:スペースを使って前歯の凸凹を並べる |
|---|---|
| 期間 | 半年~2年 |
| 費用 | 300,000円+税 |
| リスク | 磨きづらい箇所は虫歯になるリスクが あります。 |


電話する
初診専用