自由ヶ丘デンタルスタジオ

噛み合わせ治療の症例24

自由が丘の歯医者「自由ヶ丘デンタルスタジオ」

自由が丘で歯医者をお探しの方
ご予約・ご相談はお気軽にどうぞ ▼

24時間WEB予約

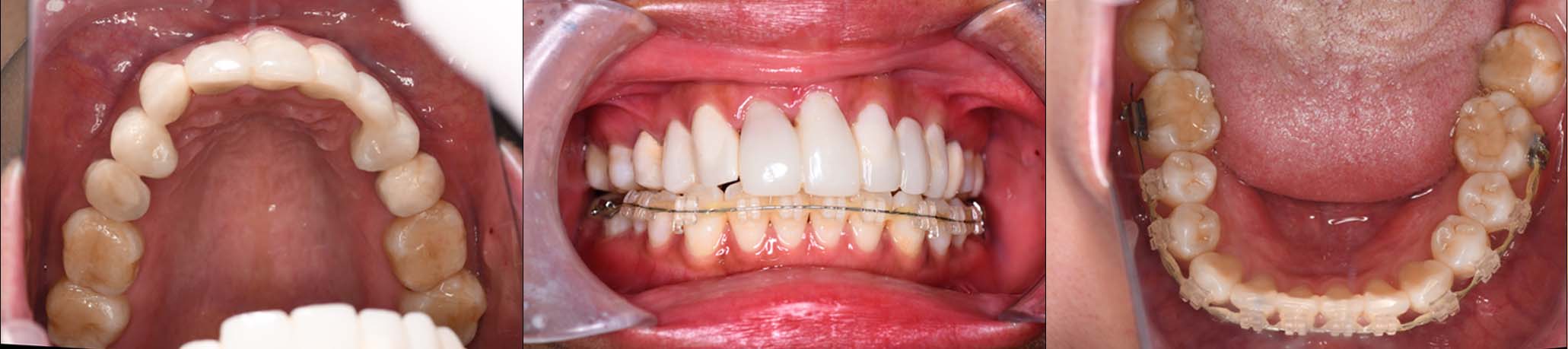
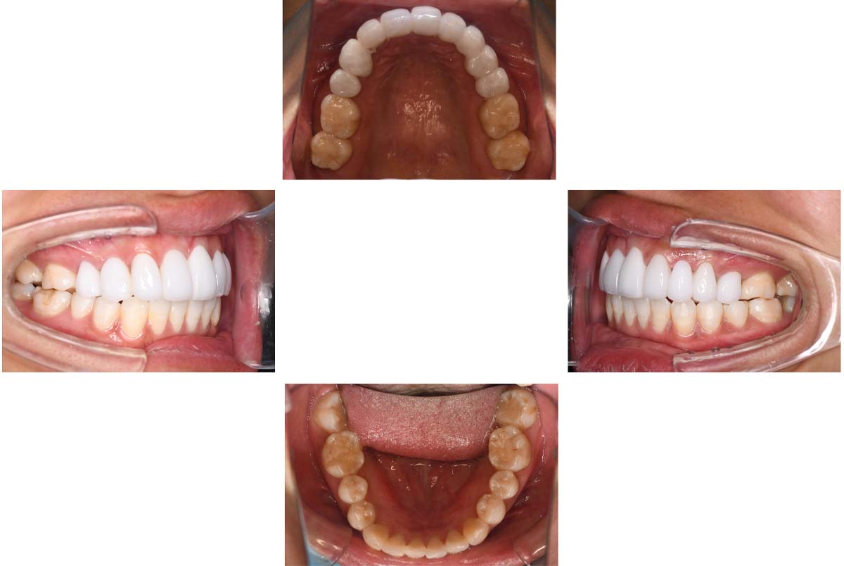
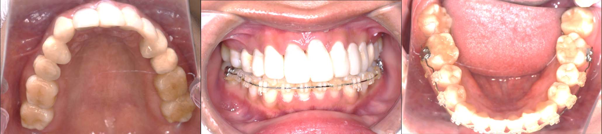
スプリント使用後、
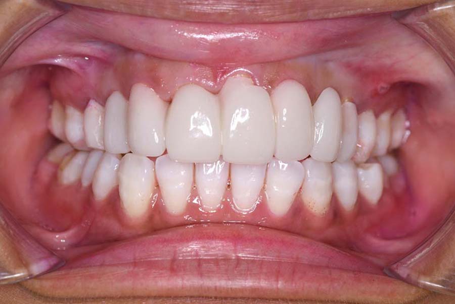
補綴治療をした症例

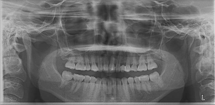
基本情報

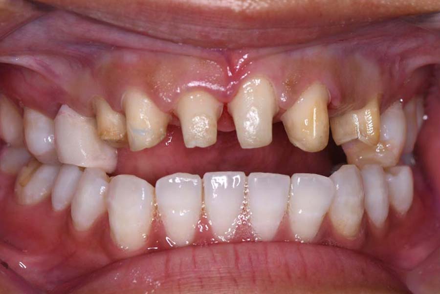
主訴 噛み合わせが悪い
期間 約2年2ヶ月
費用 準備中
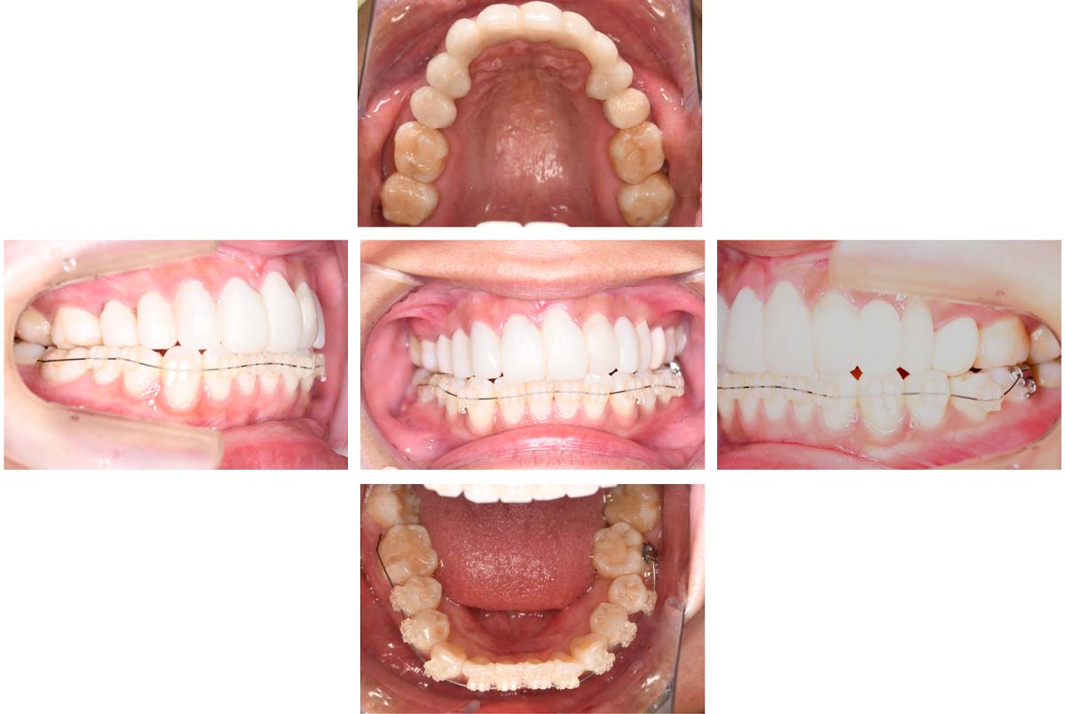
治療内容 ①スプリントを装着
②副子を装着
③2024年4月 口腔内反映開始
④副子を入れた状態の所まで咬合を挙上
(バイトアップ)
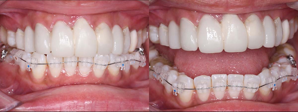
⑤2024年5月 上顎前歯部8本へ仮歯(TEK)
を装着
治療へのリスク マウスピースや矯正、補綴の期間や方法、本数は症状やケースによって異なります。

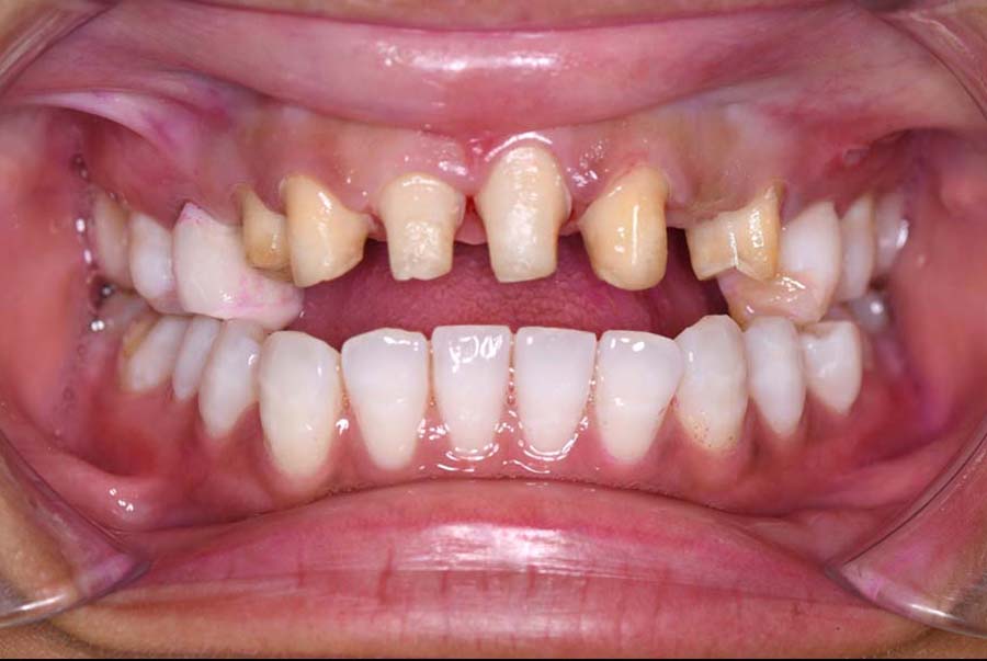
初診日 2023年10月12日

   

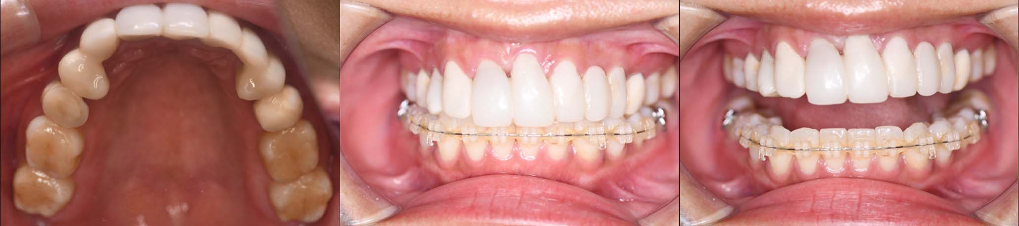
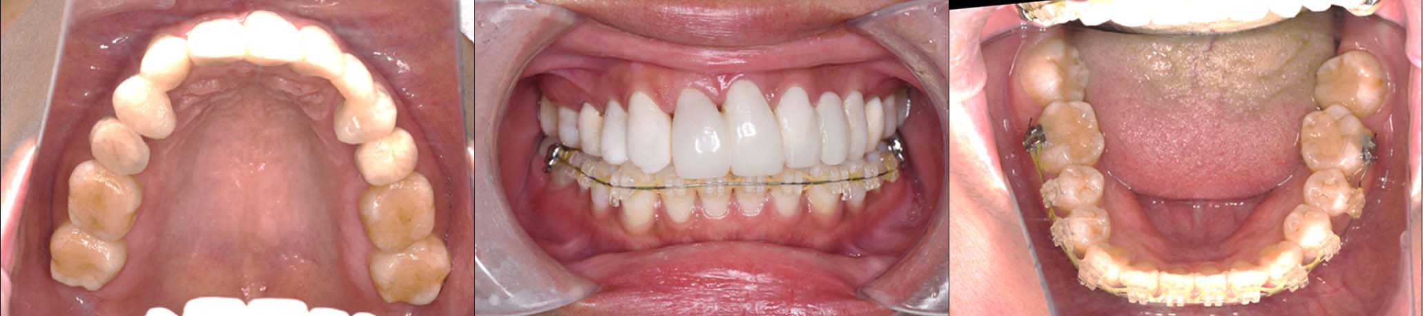
姿勢

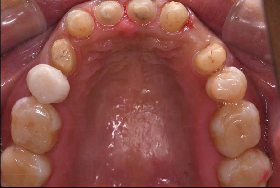
副子なし 副子あり

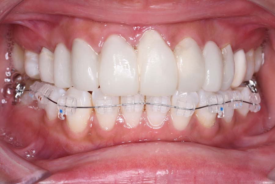
バイトアップ後

2024年 10月 下顎MTM開始

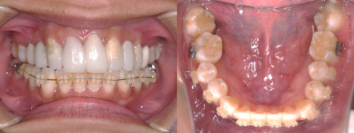
2024年 10月10日

10月21日

11月7日

11月28日

12月16日

12月23日

1月9日

1月30日

2月20日

3月13日

4月24日

9月25日

ヒアルロン酸注入
リップアート(SWEET MELISSA)
1回目術前 1回目定着

2025年 12月25日

姿勢の変化

2024年 3月 初診時

2024年 10月10日

2025年 12月25日

顔貌の変化

2024年 3月 初診時

2024年 10月10日

2025年 12月25日

噛み合わせ治療外来ページへ

TEETH PLANNING GROUP

あなたの歯を守る、
的確で誠実な診断と治療

自由が丘の歯医者|自由が丘デンタルスタジオ

自由が丘の歯医者・歯科「自由が丘デンタルスタジオ」は東京都目黒区自由が丘の総合歯科医院です。虫歯治療や予防歯科などの一般歯科から、各専門医による高度で精密なインプラント・噛み合わせ治療を兼ねた矯正治療などの専門歯科治療まで幅広く対応しています。

  • 自由が丘駅より徒歩30秒
  • 各種保険診療対応
  • 土日診療
  • 充実の歯科医療設備

自由が丘で歯医者をお探しの方
ご予約・ご相談はお気軽にどうぞ ▼

24時間WEB予約

ページ上部へ